信息公开 information

镇江瑞康医院心内科首次在该地区开展微创球扩瓣“换心门”高难度手术

浏览量:596  /  时间:2026-03-23

扬子晚报网3月18日讯(通讯员 刘柳 记者 姜天圣)近日,镇江瑞康医院心血管内科在首席专家严金川教授、张凯博士的精心组织下,成功为一例重度主动脉瓣狭窄患者实施微创球囊扩张瓣膜(球扩瓣)介入“换心门”。该技术称为经导管主动脉瓣植入术(TAVI)。正常主动脉瓣口面积3-4cm2,该患者为81岁高龄女性,体重仅48kg,瓣口面积0.73 cm2,峰值流速5.1m/s,最大压差84mmHg,反复胸闷,慕名到瑞康医院就诊,心内科团队经过充分讨论确定该患者为TAVI术的强适应症,但患者CTA显示为明显横位心,且主动脉弓角度大,下肢血管细小且钙化严重,手术风险相当大,经多学科(心内科、麻醉科、超声科、影像科、外科、护理等)团队人员缜密准备,制定了详细的风险应急预案,最大程度的保障患者的安全。

0670f011-92be-4435-ba8d-a83f7890e6de

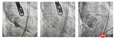
       TAVI术中通过股动脉送入介入导管,首先采用球囊对患者重度狭窄的主动脉瓣膜进行预扩张,后将人工主动脉瓣膜送到拟释放位置,精确定位,人工瓣膜顺利释放,替换了原来重度狭窄伴钙化的瓣膜,术中经食道超声确认新的瓣膜位置准确、开放自如,患者主动脉瓣的功能得以恢复,手术成功。

       TAVI术中根据瓣膜释放机制与结构有二种方式,一是自膨瓣,通常使用20-22F大鞘,无论是瓣膜硬度、长度及系统的不可调弯性,都会大大增加手术入路并发症的风险;二是球扩瓣,入路仅需14F大鞘,Prizvalve瓣膜的双调弯设计可令过弓、跨瓣等操作更加安全顺畅,适用于本例存在入路极度困难的患者;球扩瓣瓣架偏短,降低阻塞冠脉和对传导束压迫的风险,减少了TAVI术后冠脉闭塞和植入永久起搏器的几率。但该瓣膜的操作需精确定位,术者与助手要实现精细配合,且瓣膜为一次释放,无法回收。

       目前TAVI术这项新技术仅有少数三甲医院心内科开展。镇江瑞康医院心内科继去年成功完成自膨瓣TAVI术后,首次在镇江地区开展球扩瓣TAVI术,该技术的成功实施,既是医院多学科团队的一次现场实战演练,更是心内科整体实力的一次提升和飞跃,标志着心内科对疑难、危重患者的抢救能力及新技术的应用水平达到了新高度。此项新技术的顺利开展将为本地区更多的心血管病患者带来“心”的福音。